Inicio
Perfil
Dr. Alex Martínez
Nuestras Instalaciones
Nuestros Servicios
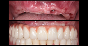
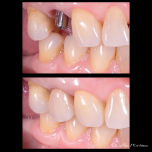
Implantes Dentales
Periodoncia
Endodoncia
Prótesis Dentales
Carillas de Porcelana
Blanqueamiento Dental
Dental Bonding
Radiografía Digital
Incrustaciones Inlay y Onlay
Casos Clínicos
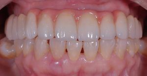
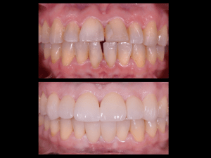
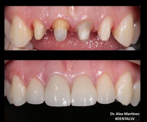
Fotos Antes y Después
Testimonios
Vídeos
Blog
Contacto
Home
Fotos Antes y Después
Fotos Antes y Después
Antes y Después